Saltar al contenido

Glutatión

El antioxidante maestro

  • Inicio
  • COVID-19
  • Cáncer
  • Diabetes
  • Hígado
  • VIH/SIDA
  • Corazón
  • Sistema inmune
  • Otros
    • Cerebro
    • Autoinmune
    • Pulmones
    • Piel
    • Estómago
    • Riñones
    • Accidentes
    • Calidad de vida
      • Estrés
    • Antienvejecimiento
    • Desempeño atlético
    • Embarazo
    • Próstata

Categoría: Cáncer

  • Inicio
  • Cáncer
  • Página 2
Cáncer Cáncer de mama

Melatonina y glutatión para combatir el cáncer de seno

enero 18, 2013junio 19, 2021 admin

La melatonina, una hormona secretada por la glandula pineal, ha mostrado inhibir el crecimiento de celulas cancerigenas en el pecho humano en concentraciones (1 nM)

Comparte esto:

  • Haz clic para compartir en WhatsApp (Se abre en una ventana nueva)
  • Haz clic para compartir en Facebook (Se abre en una ventana nueva)
  • Haz clic para compartir en Telegram (Se abre en una ventana nueva)
  • Haz clic para compartir en Twitter (Se abre en una ventana nueva)
Leer más
Cáncer Glutatión

Proteina aislada de suero de leche y el Cáncer, estudios clínicos

enero 18, 2013junio 19, 2021 admin

Muchos estudios han comprobado el efecto sumamente positivo en pacientes con distintos tipos de Cancer y distintas fases de avance. Muchos estudios estan aun en

Comparte esto:

  • Haz clic para compartir en WhatsApp (Se abre en una ventana nueva)
  • Haz clic para compartir en Facebook (Se abre en una ventana nueva)
  • Haz clic para compartir en Telegram (Se abre en una ventana nueva)
  • Haz clic para compartir en Twitter (Se abre en una ventana nueva)
Leer más
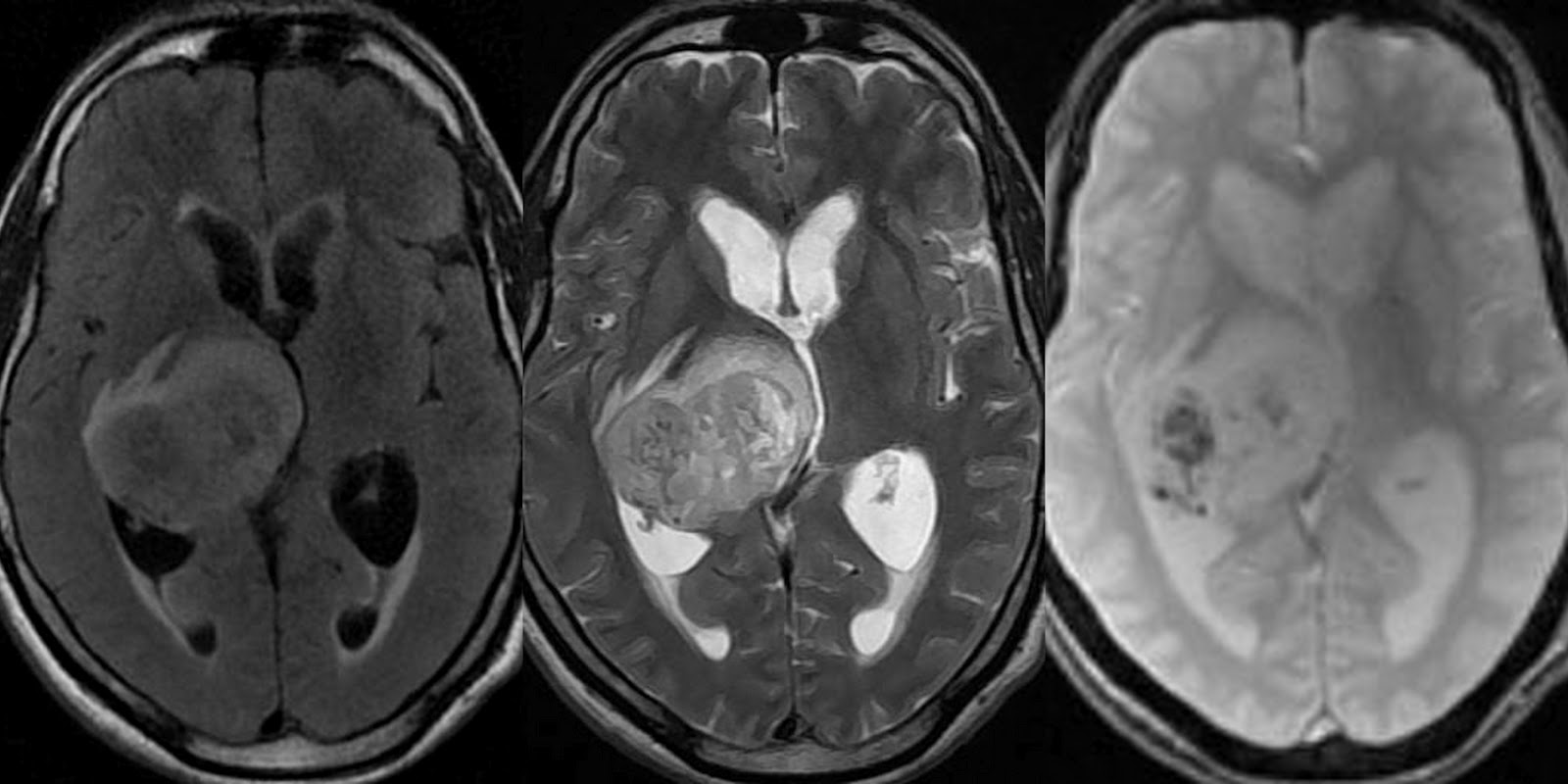
Cáncer Cáncer de cerebro

Conexión entre el tratamiento de Glioma (Cáncer en el cerebro) y el glutatión

enero 18, 2013junio 19, 2021 admin

Los gliomas son quizas el tipo de cancer de cerebro mas interesante. Estan clasificados en distintas formas incluyendo el tipo, grado y localizacion. Son tambien

Comparte esto:

  • Haz clic para compartir en WhatsApp (Se abre en una ventana nueva)
  • Haz clic para compartir en Facebook (Se abre en una ventana nueva)
  • Haz clic para compartir en Telegram (Se abre en una ventana nueva)
  • Haz clic para compartir en Twitter (Se abre en una ventana nueva)
Leer más
Cáncer

¿Cómo ayuda el glutatión al tratamiento del Cáncer?

enero 17, 2013junio 23, 2021 admin

El efecto anticancer del glutation esta bien documentado en la literatura medica, aunque su mecanismo exacto de accion aun no es perfectamente conocido. En esta

Comparte esto:

  • Haz clic para compartir en WhatsApp (Se abre en una ventana nueva)
  • Haz clic para compartir en Facebook (Se abre en una ventana nueva)
  • Haz clic para compartir en Telegram (Se abre en una ventana nueva)
  • Haz clic para compartir en Twitter (Se abre en una ventana nueva)
Leer más
Cáncer

El glutatión y el Cáncer (Parte 3)

enero 15, 2013junio 19, 2021 admin

Es un hecho de que la incidencia y mortalidad del los indices de Cancer aumentan conforme aumenta la edad. Algunos tipos de Cancer son considerados

Comparte esto:

  • Haz clic para compartir en WhatsApp (Se abre en una ventana nueva)
  • Haz clic para compartir en Facebook (Se abre en una ventana nueva)
  • Haz clic para compartir en Telegram (Se abre en una ventana nueva)
  • Haz clic para compartir en Twitter (Se abre en una ventana nueva)
Leer más
Cáncer Glutatión

El glutatión y el Cáncer (Parte 2)

enero 15, 2013junio 19, 2021 admin

El glutation juega un rol muy especifico en la desintoxicacion de muchos bien conocidos cancinogenos y mutagenicos en nuestro ambiente. Estas sustancias son neutralizadas por

Comparte esto:

  • Haz clic para compartir en WhatsApp (Se abre en una ventana nueva)
  • Haz clic para compartir en Facebook (Se abre en una ventana nueva)
  • Haz clic para compartir en Telegram (Se abre en una ventana nueva)
  • Haz clic para compartir en Twitter (Se abre en una ventana nueva)
Leer más
Cáncer Glutatión

El glutatión y el Cáncer (Parte 1)

enero 15, 2013junio 19, 2021 admin

Pocas palabras en el mundo producen tanto miedo que la palabra Cancer. Mas de cien distintos tipos de Cancer son conocidos. Muchos sn tratables y

Comparte esto:

  • Haz clic para compartir en WhatsApp (Se abre en una ventana nueva)
  • Haz clic para compartir en Facebook (Se abre en una ventana nueva)
  • Haz clic para compartir en Telegram (Se abre en una ventana nueva)
  • Haz clic para compartir en Twitter (Se abre en una ventana nueva)
Leer más

Navegación de entradas

Anteriores 1 2

Listado de enfermedades

La mejor forma de elevar tu glutatión

Conoce la mejor forma de mantener elevados tus niveles de glutatión y mantener o recuperar tu salud. Visita: CIENCIAIMM.COM

Síguenos en Facebook

  • Siguenos en Facebook
  • es
    • zh-CN
    • en
    • fr
    • de
    • it
    • pt
    • es
Salud y Glutatión 2021. Todos los derechos reservados
Funciona gracias a WordPress | Tema: Fairy por Candid Themes.